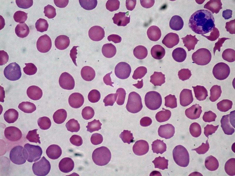
If your doctor suspects you have paroxysmal nocturnal hemoglobinuria (PNH), one of the first tests they may order is a peripheral blood smear. This simple, widely used lab test provides a closeup look at blood cells. A peripheral blood smear can offer important clues about whether your symptoms are due to PNH or another condition.
PNH is a rare blood disorder that causes red blood cells (RBCs) to break down earlier than normal, leading to symptoms like dark urine, fatigue, and anemia. Although a blood smear can’t confirm PNH, it often plays an important early role in the diagnostic process.
This article explains when a blood smear may be used for PNH, what it may show, and how the results can affect your PNH care.

A peripheral blood smear (also called a blood film) is a laboratory test that helps doctors examine the size, shape, and appearance of blood cells such as:
To perform the test, a small drop of blood is placed on a glass slide, spread into a thin layer, stained with special dye, and examined under a microscope. A hematologist (a doctor who specializes in blood diseases) or laboratory technician can identify any abnormal changes that might suggest infections, inflammation, or blood disorders.
The blood smear test isn’t specific for PNH, but it helps doctors identify changes in red blood cells that may suggest hemolysis (red blood cell destruction) or bone marrow failure, which are features of PNH. For people being evaluated for PNH, a blood smear is typically ordered along with other basic blood tests such as a complete blood count (CBC) and reticulocyte count (number of immature RBCs).
Doctors may order a blood smear when they want to see more detail about blood structure and function than an automated test can provide. In people with possible PNH, a blood smear can:

PNH shares symptoms with many other blood and bone marrow conditions, including aplastic anemia and some blood cancers. A blood smear helps doctors narrow down the possibilities, but further testing is needed to be sure of the diagnosis.
A blood smear test is simple and quick. First, a nurse or phlebotomist (a healthcare professional skilled in drawing blood) will take a small sample of blood from a vein in your arm. In the lab, a drop of the blood is placed on a glass slide and spread into a thin film. The slide is then stained to help highlight the different types of cells. A hematologist will examine the slide under a microscope, looking for the shape, size, and color of the cells.
You don’t need to fast or prepare for a blood smear. You may feel a brief pinch when your blood is being drawn, but there’s minimal discomfort and no downtime afterward. Results are usually available within a few hours to a couple of days, depending on the lab’s workload.
When doctors examine a blood smear for someone suspected of having PNH, they’re looking for signs of red blood cell destruction and bone marrow problems. Findings that may support a PNH diagnosis include a low red blood cell count, which indicates anemia, and other signs of hemolysis. These include:
The findings may also show signs of bone marrow failure, such as low white blood cell and platelet counts or pancytopenia — a drop in all three major blood cell types (RBCs, WBCs, and platelets).
These findings reflect the two main issues in PNH — ongoing hemolysis and possible bone marrow failure.
Although a blood smear test is valuable, it can’t confirm a diagnosis of PNH. Instead, the test can:
PNH occurs due to a mutation (change) in the PIGA gene. This mutation prevents blood cells from producing certain proteins that normally protect them from the immune system. Without these proteins on their surface, the cells are more likely to be attacked and destroyed.
To detect this specific defect, doctors use flow cytometry, the main diagnostic test for PNH. Flow cytometry uses fluorescent markers to see whether red and white blood cells are missing these surface proteins. A simple blood smear can’t show this detailed information.
Even though a blood smear doesn’t diagnose or confirm PNH on its own, it’s a valuable tool for ruling out other causes of anemia. Doctors rely on its findings to tell the difference between different types of blood and bone marrow disorders. Below are some conditions that can mimic PNH and how the blood smear helps to tell them apart.
Aplastic anemia and myelodysplastic syndrome (MDS) are bone marrow failure disorders that may be linked to PNH or occur beforehand. A smear may show pancytopenia, with few or no immature cells. In MDS, cells may appear pale or misshapen, showing dysplasia (abnormal cell development).

Several inherited (familial) red blood cell disorders can cause anemia and red cell destruction, similar to PNH. These include hereditary spherocytosis, sickle cell disease, thalassemia, and G6PD deficiency. Blood smears play an important part in diagnosis because red blood cells can take characteristic shapes, including round spherocytes or sickle-shaped cells, that suggest an inherited cause.
If doctors see a pattern linked to a hereditary condition, they may follow up with another test called hemoglobin electrophoresis or enzyme assays to confirm the diagnosis.

Conditions such as microangiopathic hemolytic anemia and disseminated intravascular coagulation may cause red blood cells to break apart as they move through damaged blood vessels. On a blood smear, this shows up as schistocytes (fragmented cells). If schistocytes are present and flow cytometry doesn’t detect PNH cells, a PNH diagnosis is unlikely.

Diseases such as acute myeloid leukemia (AML) and primary myelofibrosis can also cause low blood counts and fatigue. Unlike PNH, these conditions typically show abnormal cells — such as circulating blast cells (immature white blood cells) and nucleated red blood cells — on a smear. These findings prompt further testing, like a bone marrow biopsy, to better understand the cause.
Up to 3 percent of PNH cases may progress to AML, which can cause blasts to appear on a blood smear.
If your doctor orders a blood smear, they’ll review the results alongside other blood tests and your symptoms.
If no abnormalities are found, your doctor will likely look for other causes of your symptoms. If there are signs of low blood cell counts or destruction of red blood cells, they may order follow-up tests — such as flow cytometry — to check for PNH. If the smear shows patterns linked to other conditions, they’ll explore different diagnoses.
Because PNH is rare, a diagnosis usually requires input from a hematologist. Good communication with your medical care team can help guide treatment decisions and support long-term management of paroxysmal nocturnal hemoglobinuria.
Receiving and understanding test results can feel overwhelming. To prepare for your next appointment, ask what your blood smear showed and what tests come next, and let your doctor know about any new symptoms.
If you have PNH and notice new or worsening skin changes, such as bruising, dark spots, or tiny red or purple dots, reach out to your doctor. These symptoms may signal changes in your condition or indicate another blood problem. Staying in close contact with your care team can help improve your quality of life and ensure you’re getting the most effective treatment of paroxysmal nocturnal hemoglobinuria.
On myPNHteam, people share their experiences with paroxysmal nocturnal hemoglobinuria, get advice, and find support from others who understand.
Have you ever had a blood smear for PNH? Let others know in a comment below.
Get updates directly to your inbox.
Become a member to get even more
This is a member-feature!
Sign up for free to view article comments.
Thank you for these shown test and what they ment . Gave me a much clearer understanding as to how these cell really look like and the explanation as to why .
We'd love to hear from you! Please share your name and email to post and read comments.
You'll also get the latest articles directly to your inbox.